How Long For Gingivitis To Clear Up
Gingivitis: Causes, Risks, and Treatments
What do you think is the most common dental problem for people to have? Cavities? Guess again! Gingivitis and related gum diseases are the most prevalent types of oral infections for people of all ages and backgrounds.
"But I'm just concerned with my teeth," you say, "It doesn't bother me if my gums bleed a little here and there." Well, here's the kicker: you need healthy gums to hold your teeth in place. Without them, gingivitis will turn into periodontal disease and aggressive periodontal disease almost always leads to tooth loss.
So, yeah. Your gums matter more than you might think!
What Causes Gingivitis?
The best cure to gingivitis is understanding what causes it. First, let's break the word up to get to the bottom of what it means. "Gingi-" comes from the word "gingiva", which is our gums. And "-itis" is the medical term used to mean "inflammation of." When you put the two together, it means you have swollen gums.
(Just think about all of the other health "-itis"-es you've heard of, like dermatitis, conjunctivitis, appendicitis, encephalitis…you get my point!)
Your body gets swollen because there are antibodies rushing into that area to attack whatever infection is starting to set in. It's no different when it comes to your mouth. So why do the edges of your gums get swollen?
Usually, it's because of issues like:
1) Inadequate Brushing and Flossing:
Dental plaque, which is that sticky white film that collects along the edges of your gums day after day, needs to be cleaned off. Now normally, you're supposed to be brushing for two minutes twice a day and flossing between your teeth every day to remove all of that biofilm. But if you don't floss or maybe you don't spend enough time with your toothbrush along your gums, it's easy for that plaque to trigger an immune response.
Let's say you get something in your eye. But you don't clean it out. If you leave it there long enough, those mucous membranes are going to get really red, really irritated, and really swollen. Your mouth is full of mucous membranes too. That's why your gums get swollen if you don't remove the plaque every day.
2) Your Diet:
Not drinking enough water, a diet that's high in processed carbs, and not getting enough fresh fruits and vegetables can set you up for having higher plaque levels. And if you're snacking more frequently throughout the day, you're probably going to have more bacteria in your mouth than someone who eats less often.
3) Family History:
Although you can't catch gingivitis per-se, the bacteria that cause it can get passed between family members that are sharing food or kissing. And then when you don't keep them in check with brushing and flossing, you're more apt to get gingivitis.
What's the Difference Between Gingivitis and Periodontitis?
Now, there's all different levels of severities when it comes to gingivitis, gum disease, periodontal disease, or periodontitis. Basically, all of them fall under the umbrella description of "gum disease". But on one end you have the early signs of gingivitis and on the other, you have tooth loss because of advanced periodontal disease.
Gum disease is best managed when it's caught as gingivitis. Treatment at that point is preventive in nature. That is, brushing, flossing, and seeing your hygienist twice a year for professional cleanings. But once your gums get so inflamed that you have moderate gum disease, treatment evolves into deep cleanings and other types of periodontal therapy. You can't just book a cleaning with your hygienist and say all is well!
With gingivitis, only the edges of your gums are inflamed. Everything underneath them is still intact. But as it progresses into something worse, those tissues start to pull away from the tooth and create pockets down underneath your gums. Once we see pockets 4-5mm or deeper, it also means that the bone underneath your gums is shrinking away. At that point, you have periodontal disease.
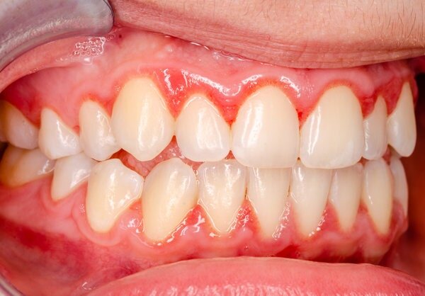
Gingivitis Symptoms
Healthy gums are usually a nice coral pink color. That's the same for almost every ethnicity. However, a small percentage of individuals from all races, also have pigmentation on their gingiva, which can make their gums speckled or completely black, without any pink.
Now that you know what your gums are supposed to look like, you can recognize the signs of gingivitis right away. When you do, you can usually be on the path to cure gingivitis within a couple of weeks.
Classic symptoms include:
-
redness
-
swelling
-
itchy gums (for some people)
-
bleeding when you brush or floss
-
tenderness
-
bad breath
At this point, it's super important to really up your oral hygiene game. That means better brushing, better flossing, and making sure you're up to date on your cleanings. If you do, you can get rid of all of the plaque that's causing your immune system to kick in. Just like a cut somewhere on your body that isn't clean, your body is going to send antibodies in and you're going to see some swelling and tenderness, telling you that you need to start cleaning it. The same thing is going on inside of your mouth when plaque hangs out for too long.
Now, if your gingivitis is starting to evolve into a more aggressive form of gum disease, you'll also notice additional symptoms such as:
-
receding gums
-
exposed tooth roots
-
tooth mobility
-
spaces between teeth
-
food getting stuck between teeth
-
changes in your bite
Gingivitis "hyperplasia"
It's important to note that another type of condition known as gingival hyperplasia does not require gum disease treatment. This type of soft tissue condition is actually an excess growth of gingiva, usually because of certain types of medications or hormonal changes (like during pregnancy.)
If there is too much tissue it can interfere with aesthetics, wearing removable appliances, or even eating. Getting gingival hyperplasia removed usually involves laser therapy or something other than gingivitis treatment. If you're taking blood pressure medications or other types of prescription drugs, be sure to let your dentist know.
How To Cure Gingivitis
Here's some great news. Gingivitis treatment is something that you can do at home. That's right; classic, mild to moderate gingivitis is something that you can (usually) totally reverse within about two weeks. Unfortunately, periodontal disease is not. So as soon as you start to see symptoms of gingivitis, it's time to kick it into high gear before things get worse.
To cure gingivitis, treatment means keeping your teeth as clean as possible. Don't skip the floss for even one night. Clean your teeth as good as you can. Normally, everyday gingivitis will go away in about 10-14 days. But if symptoms don't improve within two weeks, it's time to see a dentist. It could be that there's tartar (calcified plaque) down under your gums, which can't be cleaned off with a regular toothbrush and floss.
Tip: If you smoke (insert plug here for kicking the habit) it can totally cover up your symptoms of gingivitis or gum disease. In fact, you can be so close to aggressive periodontitis that you're at risk of losing teeth without ever seeing any swelling or bleeding. So, if you use tobacco of any sort, including vaping, it's important to see your dentist and dental hygienist for regular cleanings and periodontal exams.
Gingivitis Prevention
Every dentist and dental hygienist want their patients to know that the best gum disease treatment is prevention. Gingivitis is preventable and reversible, but once it evolves into advanced gum disease, you're going to need professional treatment to recover.
The key is to make sure you're cleaning off ALL of the plaque at least twice a day – morning and night – so that you're removing the source of infection that's setting off your body's immune system. That way there's not so much bacteria for your body to have to fight off.
Proper Brushing Care
-
Angling your toothbrush toward the gums and cleaning the gumlines around every single tooth. 45-degrees is best, so that your bristles are slightly angled into the "sulcus" or gum pocket.
-
Brushing long enough. Set a timer for two minutes, minimum. Focus on making small strokes on just one or two teeth at a time.
-
Brushing at least two if not three times per day. If you're at work, keep an extra brush in your desk and use tap water if you want. Just make sure that you're physically moving that plaque off of your teeth.
-
Possibly invest in an electronic brush, since they vibrate thousands of times per second and can remove way more plaque. Just remember that you get what you pay for. A super cheap battery-powered brush might have hard bristles and be too abrasive.
Proper Flossing Care
-
Floss between every tooth in your entire mouth at least once a day. Wrap it around the tooth in a "C" shape, then slide it up and down several times even getting under the gums. Be sure to lift it up over your gums before you move to the adjacent tooth.
-
If you can't floss, consider getting a water flosser instead. Water flossers shoot a steady stream of H2O to flush out hard-to-reach areas. They're perfect if you have a bridge, retainer, or something else that you can't always get floss under.
-
Don't substitute other things like mouthwash for flossing. You need to physically get in there and clean the plaque out from under the edges of your gums.
Dental Care
-
Schedule a cleaning to get any calcified tartar off of your teeth, since it's not possible to remove it at home. For most people, this is every six months. But if you have a history of past gum disease, you might need to book a checkup as frequently as every 3-4 months.
-
Looking for a dentist? Start the search here!
Related Health Risks With Gingivitis
Are you ready for a not-so-great surprise? When you have infected gums that bleed and are starting to pull away from your teeth, it lets all of that oral bacteria head straight for your blood supply. When dental biofilm dislodges and spread into your cardiovascular system, they can get wedged in your arteries and heart. Or you might even inhale them, allowing the bacteria to collect inside of your lungs.
It's not as science fiction as it sounds. There are tons of scientific studies that show the worse off your gum disease is, the higher the risk of you having issues with:
-
pneumonia
-
heart disease
-
stroke
-
high blood pressure
-
diabetes
-
preeclampsia, pre-term labor, low-birthweight babies
-
infertility (both genders)
-
erectile dysfunction
…and possibly certain forms of dementia, like Alzheimer's disease. In the studies that are out there, scientists have found that gum disease treatment is directly linked to a positive outcome in response to other types of medical conditions.
For example, if you have trouble getting your blood glucose levels under control because you're a diabetic, and you also have gum disease, getting your gum treatments completed with a dentist can help your blood sugar levels stabilize and then you'll respond better to your diabetes management. And yes, gum disease treatments also showed that couples who had trouble conceiving got pregnant quicker than average compared to the couples who didn't get treatment for their periodontal infections.
Bottom line, bacteria in your mouth is never a good thing. If you have other health issues going on but you're ignoring the one right in front of you, it's going to be harder for your immune system to do its job.
Gingivitis Recap
Gingivitis treatment starts with prevention. This common oral condition can evolve into a serious gum infection that ultimately causes tooth loss. People are more at risk of getting gingivitis than any other dental condition, at any age. But with good oral hygiene and routine cleanings with your hygienist, reversing gingivitis usually doesn't take any longer than a couple of weeks. Allowing the infection to go untreated can actually put your overall health at risk. If you don't see improvement in your gum health within two weeks of great brushing and flossing, be sure to see your dentist.
Subscribe
Want More Teeth Talk Girl? Subscribe and never miss a video upload!
Resources:
Corliss, J. (2014, July 23). Treating gum disease may lessen the burden of heart disease, diabetes, other conditions. Retrieved from https://www.health.harvard.edu/blog/treating-gum-disease-may-lessen-burden-heart-disease-diabetes-conditions-201407237293
Gingivitis. (n.d.). Retrieved from https://www.mouthhealthy.org/en/az-topics/g/gingivitis
Gingivitis. (2017, August 4). Retrieved from https://www.mayoclinic.org/diseases-conditions/gingivitis/symptoms-causes/syc-20354453
Gingivitis, Gum Disease, & Periodontitis. (n.d.). Retrieved from https://my.clevelandclinic.org/health/articles/gingivitis
Saini, R., Saini, S., & Sharma, S. (2010, July). Periodontitis: A risk factor to respiratory diseases. Retrieved from https://www.ncbi.nlm.nih.gov/pmc/articles/PMC2946730/
Recommended Topics
A failed root canal is when your treated tooth experiences some type of complication.
Read More →
A cleft lip or cleft palate is a developmental condition where the growth plates that form the roof of mouth and lips don't come together and close properly.
Read More →
A scaling and root planing (sometimes called an SRP, SCRP, or deep cleaning) is a special type of dental cleaning designed for people with active periodontal disease.
Read More →
Is mouthwash with alcohol bad for your mouth?
Read More →
As holiday parties, family get-togethers, and office festivities start to come together, so do the bad drinks for teeth.
Read More →
If you have a sharp tooth cutting your cheek, you need to go ahead and see a dentist.
Read More →
Are you wondering how much does a root canal cost?
Read More →
You don't have to deprive yourself of every holiday goody this season. Order with tooth-approved alternatives.
Read More →
Do you love green tea? Is green tea bad for your teeth? Find out!
Read More →
Does it seem like your teeth hurt worse when you're trying to sleep?
Read More →
How Long For Gingivitis To Clear Up
Source: https://teethtalkgirl.com/videos/gingivitis
Posted by: ogilvieblegame.blogspot.com

0 Response to "How Long For Gingivitis To Clear Up"
Post a Comment